30厘米超大空间,可以放置最大的梯度线圈、插入式PET、外接设备和最大尺寸为兔子的动物。
超屏蔽制冷,零液氦蒸发量和免液氮技术节约维护成本,有效延长维护周期。
稳定性,脉冲管低温冷却技术,具有最大的物理稳定性,是保证出色的成像技术——无伪影且非常清晰的关键。
仪器特点
超屏蔽制冷(USR)磁体的零液氦蒸发量和免液氮技术节约维护成本,有效延长维护周期
机器驱动的动物处理系统可以对动物进行准确定位,有效提升实验效率
全二阶和z3高功率匀场通道保证了波谱学和MRI的最佳性能
可灵活扩展的 AVANCE NEO 电子装置可同时支持 MRI 和 MRS应用,整合多达 16 个接收通道
实时谱仪操控,以优化扫描期间的采集参数
高性能的 BGA-S-HP 梯度线圈具有最高的梯度强度、切换速率和匀场电流
快速且易安装的梯度/匀场插件,可为小型样品提供最佳的梯度/匀场性能
冷运输以实现安装过程的时间及成本效益最大化
为小鼠和大鼠提供完整的射频线圈组合,包括头部、脑部、心脏、身体、光遗传学、动脉自旋标记的线圈,多达16个通道的多通道射频线圈,以及X-核。
MRI低温探头,小鼠为2元、4元或13C,大鼠为4元,灵敏度明显提高。
所有关键部件(软件、磁体、梯度、谱仪、射频线圈)的内部开发和生产确保了最佳性能和较短的维修时间。

在BioSpec 70/30上进行的19F和1H磁共振成像的组合,用于监测抗生素耐药金黄色葡萄球菌治疗小鼠大腿的细菌性炎症,有望成为研究细菌感染的急性和慢性阶段的治疗药物的有效性的有效工具。图片来源:德国维尔茨堡分子感染生物学研究所的T Hertlein和维尔茨堡大学的V Sturm,P Jakob。参考文献:T. Hertlein et a., PLoS One 6(3):e18246

除了PET提供的代谢信息和MR!提供的卓越的软组织对比度,多参数PET/MR成像甚至可以更深入地了解情况,例如在这个小鼠胶质瘤模型研究中,在配备了PETinsert的BioSpec 70/30上进行,其中FDG摄取显示了肿瘤的异质性,对应干低扩散区域,表明细胞高度分裂的位置(白色箭头)。图片来源:比利时鲁汶大学,UHimmelreich.w Gsel.0Casteels, M Riva, and C Deroose。

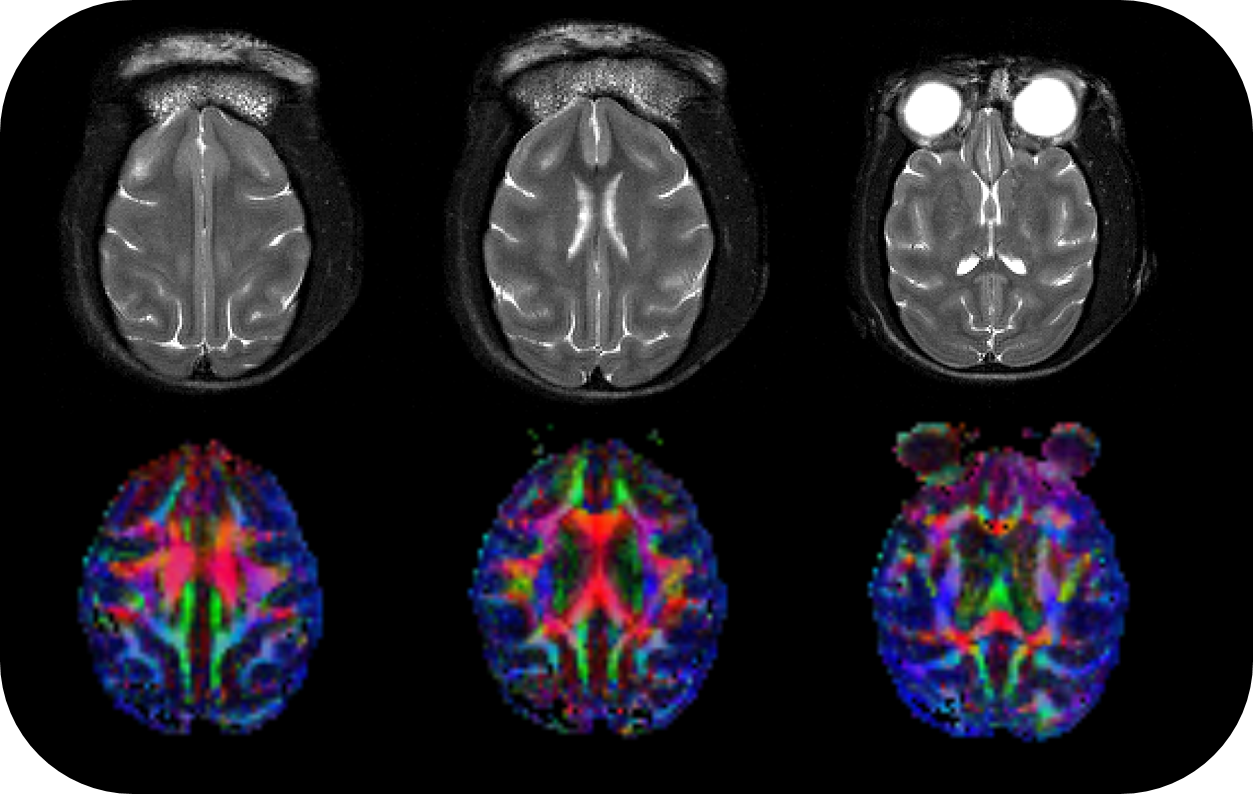
由于BioSpec 70/30的大孔径尺寸,食蟹猕猴的各向异性(FA)图可以很容易地在BioSpec上成像。图片来源:美国北卡罗来纳州温斯顿-塞勒姆,维克森林浸信会医学中心。